Trade News
摘要:血液學檢查是動物疾病狀態評估、術前檢查和常規體檢中必不可少的內容。評估血常規檢測報告的可靠性并解讀其結果是獸醫朋友們的工作日常。本文就血液學檢查的一些要點進行分析探討。血液學檢查是動物疾病狀態評估、術前檢查和常規體檢中必不可少的內容。評估血常規檢測報告的可靠性并解讀其結果是獸醫朋友們的工作日常。本文就血液學檢查的一些要點進行分析探討。
采血是進行血常規檢查的第一步,本公眾號曾經發表《獸醫隨筆:實驗動物采血指南》一文,介紹采血量和采血點的一般指導意見。
進行血液學分析時通常建議用EDTA抗凝管采集樣本,但采集時應該注意抗凝劑和血液的比例。樣本質量會顯著影響檢測結果,常見的樣本質量問題有:
抗凝效果不佳導致出現血凝塊,會使血小板(PLT),白細胞(WBC),紅細胞(RBC),紅細胞壓積(HCT)假性降低;溶血會使RBC、HCT假性降低的同時平均紅細胞血紅蛋白濃度(MCHC)、平均紅細胞血紅蛋白(MCH)假性升高;乳糜血會使血紅蛋白(Hb)、MCHC、MCH假性升高;樣本不新鮮會使紅細胞形態發生改變導致MCV和HCT假性升高,MCHC假性降低,同時白細胞形態也會發生改變。紅細胞、白細胞和血小板是血常規報告中需要解讀的三個方面。
紅細胞
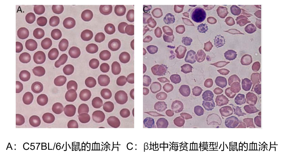
相比于人及其他哺乳類動物,嚙齒類動物的紅細胞自有其特征。倉鼠的RBC約6.0微米,豚鼠的約7.8微米。大鼠出生時紅細胞較大(10.03 μm),但在出生后30天內變到小于6μm。小鼠RBC大小約4-7μm,隨年齡增長而增加。多色性是嚙齒類動物血象的一個常見特征。在豚鼠血涂片上還可見紅細胞疊連。特定疾病模型小鼠中,如β地中海貧血模型小鼠RBC可觀察到異常形態,例如靶形紅細胞、棘形狀紅細胞、淚滴狀紅細胞、破碎狀紅細胞、有核紅細胞等。

(圖片來源:https://www.researchgate.net/publication/233535082)
和大多數哺乳動物(包括人)不同的是,新生嚙齒類動物(小鼠、大鼠、豚鼠、沙鼠)的血紅蛋白和血細胞比容值低于成年動物;新出生大鼠有16%的網織紅細胞,成年后則減少至2.5%;據報道,大鼠、沙鼠的RBC計數存在性別差異,雌性的計數通常比雄性高。不同品系的小鼠和大鼠,血紅蛋白值也會有很大的差異。
樣本采集部位或麻醉的影響會導致血常規數據的變化。例如,從大鼠尾部采集的樣本中的血紅蛋白和紅細胞比容比從腹主動脈或心臟中采集的樣本中要高。豚鼠中已經證實RBC值可能由于麻醉期間發生脾內紅細胞扣留而降低。
影響RBC參數的非致病性條件還包括妊娠、季節變化等。在大鼠中,紅細胞比容在妊娠期間減少。在倉鼠中,RBC計數、血紅蛋白濃度和紅細胞比容在冬眠期間升高,這是因為在冬眠期間,倉鼠基礎代謝率降低,RBC壽命延長了。
紅細胞和貧血
紅細胞指標重點關注RBC、HCT和Hb,它們的變化可以提示動物貧血或紅細胞增多。
嚙齒類動物中并沒有原發性的紅細胞增多癥,但可能見于輕度脫水的動物。貧血則較為常見。初步判斷為貧血后,還需要關注平均紅細胞體積(MCV),MCH和MCHC,可用于輔助判斷貧血類型,這三項都偏低常見于缺鐵性貧血,而高于正常范圍多見于葉酸或維生素B12缺乏引起的貧血。網織紅細胞是尚未完全成熟的紅細胞,是反映骨髓造血功能的重要指標。當其升高時,提示骨髓造血功能旺盛,可能有溶血性貧血、缺鐵性貧血等;而當其降低時,可能有再生障礙性貧血、急性白血病等。
儀器分析的血常規化驗單只能給出各種細胞的數量,但并不能給出細胞形態的異常描述。因此為了更準確分析血液學檢查結果還建議對血樣涂片進行形態學檢查。
RBC形態學可區分貧血的原因:出血、溶血、缺鐵、非再生性貧血、骨髓疾病或淋巴細胞增生性疾病(白血病)等。
如果診斷為溶血性貧血,則需要在血涂片中尋找血液寄生蟲的證據,如球狀附紅細胞體和鼠血巴爾通體可能導致小鼠或大鼠貧血。如果出現小紅細胞增多癥、血色素減少、總蛋白低、血小板增多和網織紅細胞計數升高則提示有慢性失血,建議檢查體表寄生蟲,在虱子嚴重感染的豚鼠和大鼠中可見這種現象。
白細胞
白細胞是機體抵御感染、調控炎癥、免疫和造血的關鍵。
嚙齒類動物的白細胞形態和其他哺乳動物相似,但又有一定區別,嚙齒類動物的粒細胞被稱為嗜異性或假嗜酸性粒細胞,因為它含有紅色顆粒,與嗜酸性粒細胞相似。豚鼠有獨特的Foa-Kurloff細胞(一種T淋巴細胞),含有一個大的細胞質包涵體。嚙齒類動物的白細胞類型與其他哺乳動物相似,但淋巴細胞數量遠超過粒細胞:淋巴細胞約占86%,中性粒細胞約占10% ~ 25%,單核細胞約占6%,嗜酸性粒細胞約占1% ~ 4%,嗜堿性粒細胞很少。
WBC計數每天都會發生波動,因此采集樣本的位置和時間不同,結果也可能不同。中性粒細胞計數隨著大鼠年齡的增長而增加,淋巴細胞計數隨著年齡的增長而減少。

(圖片來源:https://en.wikipedia.org/wiki/Kurloff_cell)
白細胞:淋巴細胞
淋巴細胞增多
淋巴細胞分為T淋巴細胞和B淋巴細胞,大多在外周淋巴組織中生成并在血液和淋巴組織中循環。淋巴細胞的增多大多為生理性的。反應性淋巴細胞增多的原因包括注射疫苗后的短暫反應、長期免疫刺激、甲狀腺功能亢進等;腎上腺皮質功能減退也會導致淋巴細胞增多,并常伴隨低血糖、電解質異常,出現高鉀低鈉和高鈣血癥;淋巴瘤、胸腺瘤可見淋巴細胞異常升高,淋巴細胞性白血病則在淋巴細胞異常升高的同時伴有其他細胞系的減少。
淋巴細胞減少
淋巴細胞減少最常見的原因是內外源性皮質類固醇激素增多,導致其從血液循環中轉移到淋巴組織中。在急性炎癥反應、病毒感染以及發生內毒素血癥和敗血癥時,也可見淋巴細胞減少。免疫缺陷病毒感染、免疫抑制藥物的使用也會讓淋巴細胞生成減少。淋巴回流受阻或丟失也會讓其計數減少。

(A)淋巴細胞,特征是有深紫色圓形核;(B)單核細胞,特征是有腎形細胞核;(C)中性粒細胞,特征為有紫色多小葉細胞核。(圖片來源:Bjorner
& Zhu, 2019)‘’
白細胞:中性粒細胞
中性粒細胞增多
與其他哺乳動物一樣,急性炎癥反應的特征是中性粒細胞增多并有核左移。但并不是出現中性粒細胞增多就意味著急性炎癥反應,動物經歷劇烈運動、驚嚇傷心等強烈情緒后也可出現生理性中性粒細胞增多,但不會出現核左移。
應激或皮質類固醇也可導致動物出現中性粒細胞數量增加,無左移。
此外慢性粒細胞性白血病、中性粒細胞功能障礙也可使中性粒細胞數量增加,同時出現核左移、多組織髓外生成粒細胞、血小板減少等異常。

正常情況下,外周血液中性粒細胞以分葉核為主,胞核常分為2~5葉,桿狀核較少。中性桿狀核粒細胞增多或(和)出現晚幼粒細胞、中幼粒細胞,甚至原始/早幼粒細胞的現象,稱為核左移。
中性粒細胞減少
中性粒細胞減少也非常常見,其中臨床常見的因素為嚴重的細菌感染,例如肺炎、敗血癥、腹膜炎等,常會伴隨核左移和中毒性變化。骨髓疾病、藥物毒性、病毒感染和腫瘤等也可造成中性粒細胞減少,同時可能會伴有紅細胞和血小板的減少。
白細胞:嗜酸性粒細胞
嗜酸性粒細胞主要聚集在皮膚、消化道和呼吸道黏膜等疏松結締組織中,它的增多常見于寄生蟲感染的動物和發生I型超敏反應的動物。也由于其分布特點,大多血液寄生蟲不會引起嗜酸性粒細胞增多。此外,還有一些臨床原因可導致嗜酸性粒細胞增多,比如嗜酸性粒細胞性腸炎、嗜酸性肌炎等炎癥反應;某些能促進嗜酸性粒細胞生成和釋放的腫瘤(淋巴瘤、鱗狀細胞癌等);腎上腺皮質機能減退等。
白細胞:嗜堿性粒細胞
嗜堿性粒細胞參與遲發性過敏和寄生蟲免疫反應,因此嗜堿性粒細胞增多癥常和嗜酸性粒細胞增多癥同時發生。此外還可見于高脂血癥、嗜堿性粒細胞性白血病和骨髓增生性疾病。
白細胞:單核細胞
單核細胞等主要功能是吞噬作用、調節炎癥反應、參與抗原提呈、參與鐵的調節。因此當機體出現急性或慢性炎癥、組織壞死時,都會導致單核細胞增多。中性粒細胞減少時也會出現單核細胞代償性增加。其他不常見的原因還包括應激或類固醇、單核細胞白血病等。嚙齒類動物中,多達25%的F344大鼠會發生單核細胞性白血病。發病動物外周血中,可見非典型性單核細胞,白細胞計數極度增高和溶血性貧血。
血小板
血小板為骨髓巨核細胞胞漿裂解脫落的小塊胞質,其主要作用是凝血和止血,修補破損血管。嚙齒類動物的血小板數量和凝血過程與其他哺乳動物相似。在小鼠、大鼠或豚鼠中,未觀察到血小板計數的性別或品系差異。大鼠的血小板會聚集,計數往往不可靠。
血小板減少
血小板減少癥發生時,動物可出現瘀斑、瘀點、黏膜出血、止血困難等。但血液分析儀判讀為血小板減少時,應做血涂片確認是否發生凝集,因為血小板做血液采集、運輸、儲存過程中會活化并凝集進而影響機器讀取數據。通過無創性靜脈穿刺采血、使用檸檬酸鹽抗凝劑、減少采樣后儲存時間、避免低溫等措施可以減少這種影響。
通常血小板減少是一過性的,跟多種系統性疾病都有關聯,隨著疾病的康復,血小板計數也會恢復正常。持續性的或進行性的血小板減少癥表明血小板生成或消耗持續失衡。例如血小板減少伴隨白細胞減少和(或)貧血通常提示骨髓疾病引起的造血功能障礙;免疫介導的破壞等。
血小板增多
血小板計數增多可能由原發性血小板增多癥、骨髓增殖性疾病和繼發性血小板增多癥引起。
來源:實驗動物那些事兒公眾號
相關閱讀:
實驗動物房設計裝修:SPF級屏障系統飼養環境建設
SPF屏障系統實驗動物房裝修設計:IVC飼育環境建設
SPF實驗動物房環境控制及凈化空調節能方案
上海市虹橋商務區富力環球中心
Copyright ? 2012-2023 CEIDI西遞 版權所有 滬ICP備11045524號